The London Bunion Clinic

For an appointment, please call: 0207 234 2696

Modern Bunion Surgery.
  • What is a Bunion?

    A bunion is a bony prominence at the base of the big toe and usually associated with deviation of the big toe (hallux) in an outward direction (valgus) - hallux valgus.

    There is usually a family history of bunions and 80% of cases are related to genetics. Footwear, such as long periods spent in high heeled shoes, can also contribute to formation of a bunion, More commonly such footwear accelerates the formation of a bunion, in patients with a family history, rather than causing it directly.

  • Bunion Surgery

    I do not perform the surgery purely for cosmetic reasons (as the risks of surgery do not justify this). The reason for undertaking an operation is to reduce pain and correct deformity. The recovery can be prolonged and both swelling and stiffness take six to nine months to fully resolve. However, the majority of patients are extremely satisfied with the final results.

    Surgery is undertaken at London Bridge Hospital, Princess Grace Hospital and Parkside Hospital.

    Four images of a bunion: Before surgery, after 2 weeks, after 6 weeks, and after 3 months

  • Surgical Technique – Scarf and Akin Osteotomy

    This is the most common procedure used to correct bunions in the UK and Europe. It is also the technique that I use for the majority of my patients.

    It involves removing the prominent bump and realigning the metatarsal bone with an osteotomy (cut in the bone followed by screw fixation), combined with repair of the joint capsule and ligaments. This will produce a narrower foot and a straighter big toe. There may also be simultaneous surgery on the lesser toes, if needed.

    The term 'Scarf' is a joinery term, and describes the 'Z' shaped cut that I use in this operation in order to straighten the big toe.

    Following making a skin incision over the inner aspect of the foot, the first metatarsal bone is cut in a Z fashion, and the metatarsal is shifted into the correct position. This new position is held with small titanium screws. A second cut is often needed in the first bone of the big toe as well, and this is called an 'Akin' osteotomy. It corrects the deformity fully and is fixed with the same small screws.

    In more severe cases, where it is not physically possible to straighten the toe, a second incision is needed between the first and second toes, to release the tight structures tethering the toe in its deviated position.

    95% - 99% of patients are candidates for the Scarf Osteotomy, with the remaining patients having a deformity too severe to correct with this technique. In these cases, a fusion of the big toe joint, or the midfoot is required.

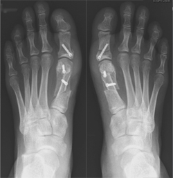
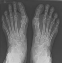
    Image of x-ray showing feet with bunion  Image of x-ray showing feet with bunion corrected using screw fixation

  • Post-Operative Course

    Day One

    • Foot wrapped in bulky bandage. To be kept dry for two weeks, until wounds healed
    • Start walking on the heel in surgical shoe. Can move ankle joint when not walking to prevent stiffness
    • Elevate, take pain medication as needed. Keep foot above heart 90% of the time for first 14 days
    • Expect numbness in foot 12-24 hours, as an ankle block for pain relief will have been administered
    • Blood drainage through bandage expected.

    Day Seven

    • Continuing with heel weight bearing and continue to mobilise ankle joint
    • Elevate as much as possible
    • Follow-up in out-patient department for dressing change. Often the dressings are stuck with blood drainage, and benefit from a change at this point.

    Day 14

    • Follow-up in the outpatients for second wound review & removal stitches if needed
    • Application of toe alignment splint to maintain big toe position occasionally required
    • Start to move big toe regularly to prevent stiffness
    • Physiotherapy to start any point from two weeks once wounds fully healed
    • Shower when incision dry, usually at two to three weeks post-surgery.

    Six Weeks

    • Follow-up in the outpatients with X-ray on arrival
    • If X-ray satisfactory, can start to use regular shoe
    • No high heel is worn for two more months, and often difficult to use narrow shoes until three months post-surgery due to swelling.

      Further follow-up based on progress and close correspondence with your physiotherapist.

  • Main Risks of Surgery

    Stiffness & Swelling

    Initially the foot will be very swollen and needs elevating. The swelling will disperse over a period of six to nine months. Often shoes will remain tight for eight to 12 weeks. The toe will be stiff but will usually regain its original movement.

    Infection

    There is always a risk of infection with surgery. You will be given 1 dose of intravenous antibiotics during surgery. The best way to reduce the chance of acquiring an infection is to keep the foot elevated for 14 days. If there is an infection it normally resolves with a course of oral antibiotics.

    Nerve Damage

    A nerve supplying the side of the toe lies beneath the incision, and this is at risk of damage. Usually it is only bruised and will recover. If the damage is permanent, there will be a small patch of numbness. This does not normally cause any disability.

    Undercorrection

    Occasionally, the deformity of the toe is not fully corrected. This is more common in severe cases. This is rarely problematic and usually does not need further surgery.

    Overcorrection

    Very rarely the toe can be over-straightened so that it angles away from the foot (hallux varus). If troublesome, this may need corrective surgery.

    Avascular Necrosis

    This is where the blood supply to the bone is disrupted, leading to the bone tissue dying and collapsing, and the joint surfaces being damaged. This can lead to arthritis (pain and stiffness), which may require further surgery.

    DVT (Clot in the leg).

    Sick Leave

    Four weeks off work for sedentary jobs.
    Six weeks off work for standing / walking jobs.
    Eight weeks off work for manual / labour jobs.

For further information or to book an appointment, please call: 0207 234 2696

© Copyright Amit Amin 2017